Ana Luiza Andrade

Dra. Ana Luiza de Freitas

Sobre

A Dra. Ana Luiza Andrade é cirurgiã dentista, CRO-PR 30059, graduada em Odontologia pela Universidade Federal do Paraná (UFPR) 2014-2018.
Sócia da Clínica Ryso Odontologia Especializada

Formação complementar:

Especialista em Prótese dentária e reabilitação oral – IOA BOUTIQUE / Curitiba 

Especialista em Implante – IOA BOUTIQUE / Curitiba 

Especialista em Periodontia – IOA BOUTIQUE / Curitiba 

Aperfeiçoamento em Harmonização Orofacial –  INSTITUTO ORBIS 

Aperfeiçoamento Cirurgia Oral menor – Studia Academy of advance learnig.

Curso de isolamento absoluto avançado, Professor Dr. Thiago Altro

Missão e valores

Atendimento Personalizado

Cada sorriso é único, e cada paciente merece um cuidado individualizado, respeitando seu tempo, suas necessidades e seus desejos.

Empatia e Respeito

Criamos um ambiente acolhedor, onde você se sente seguro(a) e à vontade para cuidar da sua saúde bucal sem medo ou julgamentos.

Excelência e Compromisso

Buscamos sempre os melhores resultados, aliando técnica, experiência e atenção aos detalhes para garantir tratamentos eficazes e confortáveis.

Segurança e Biossegurança

Seguimos protocolos rigorosos de higiene e esterilização, garantindo um ambiente seguro e confiável para cada paciente.

Transformação de Sorrisos e Vidas

Acreditamos que um sorriso saudável tem o poder de transformar não apenas a estética, mas também a autoconfiança e a qualidade de vida.

Aqui, você não encontra apenas um tratamento odontológico – encontra cuidado genuíno e compromisso com a sua melhor versão!

Tratamentos

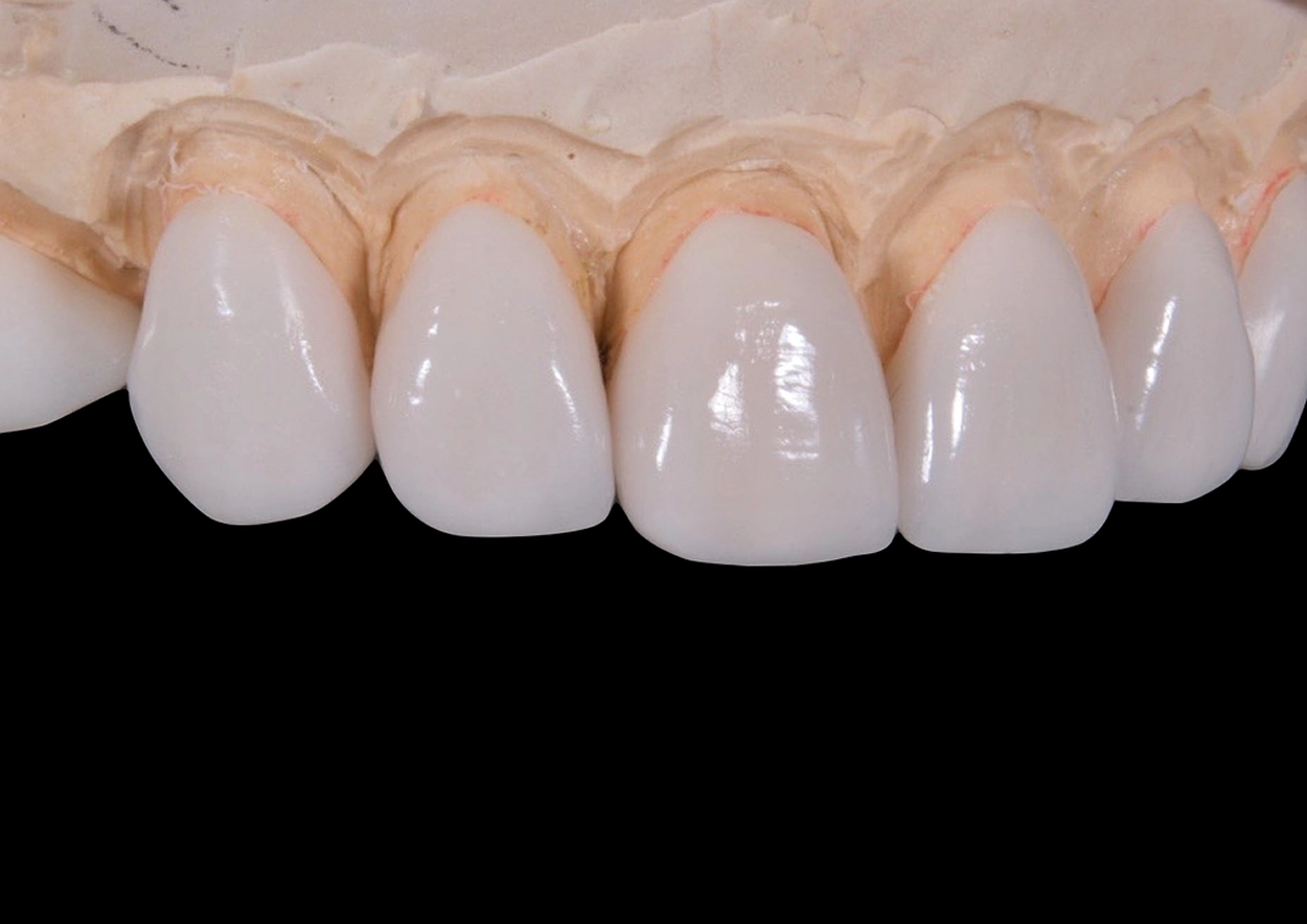
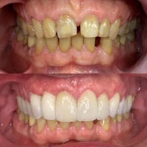
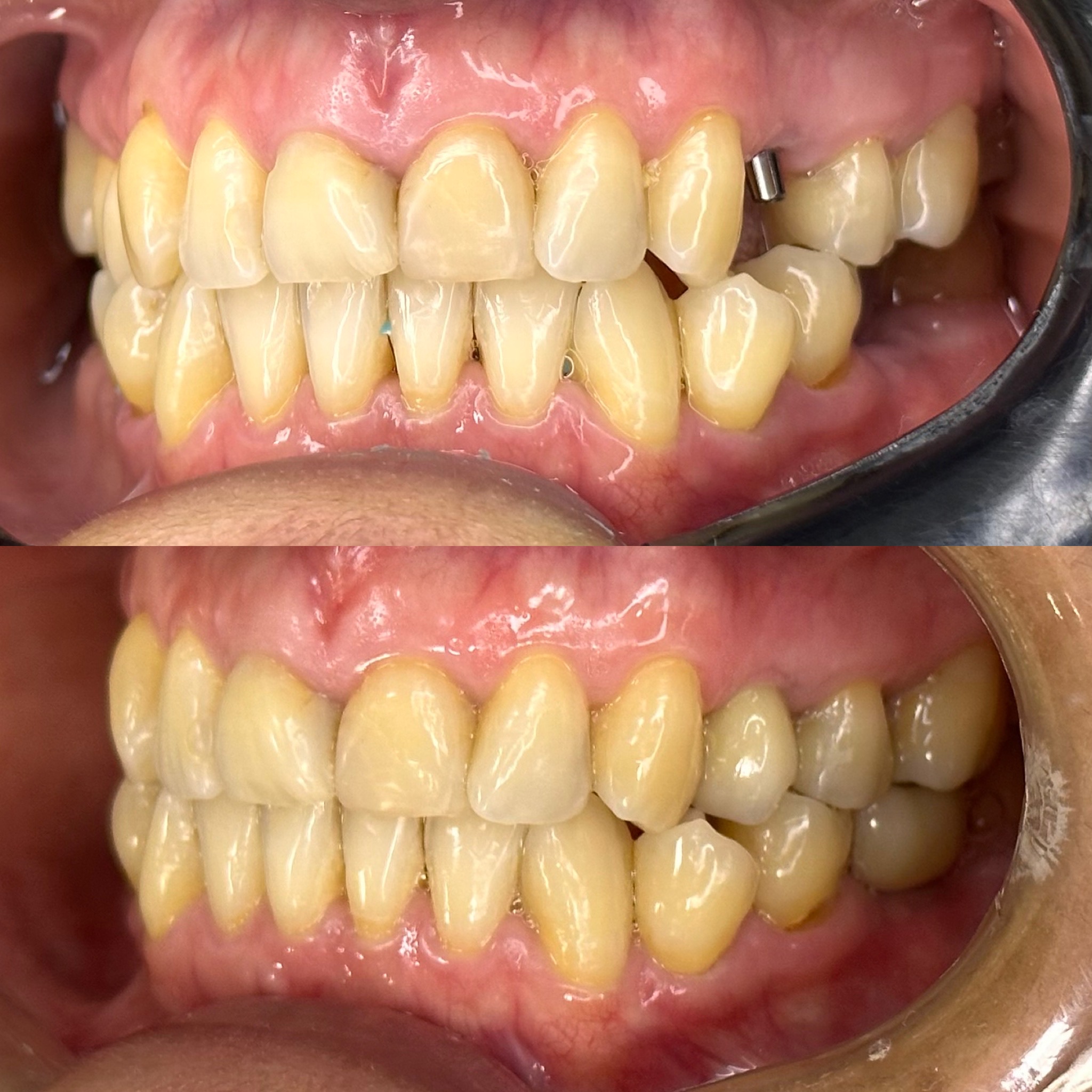
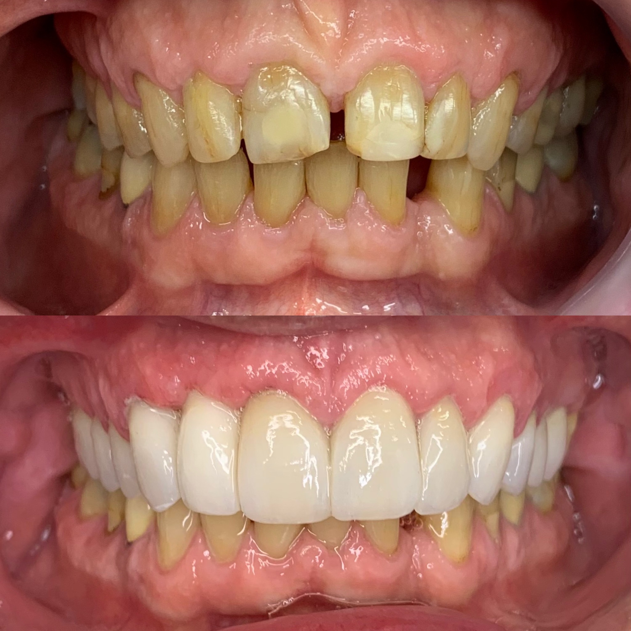
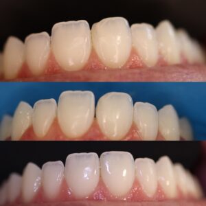
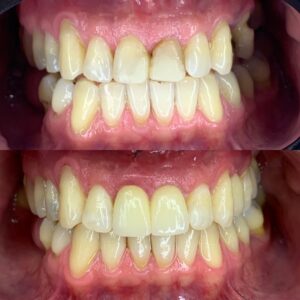
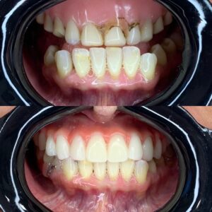
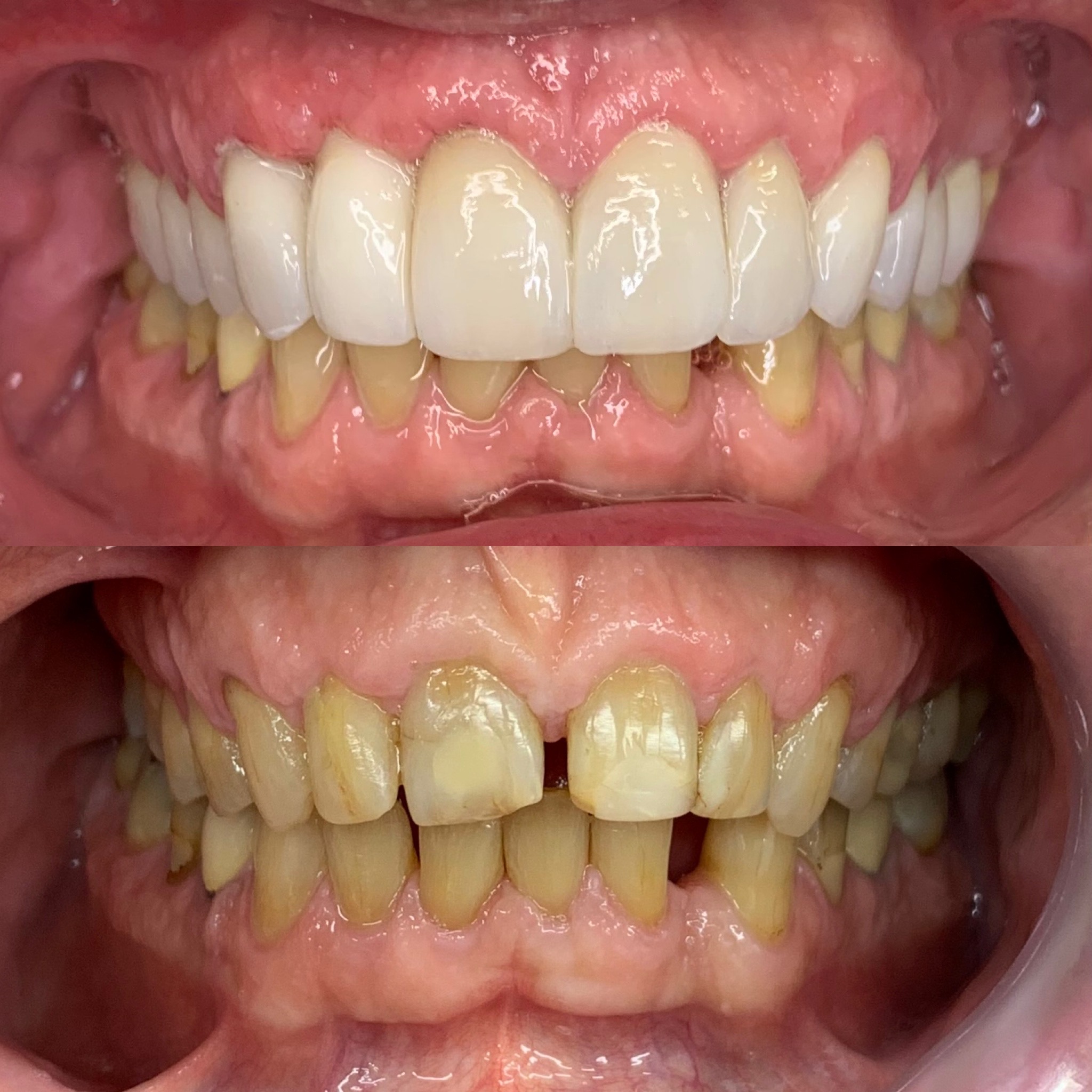
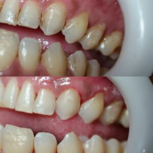
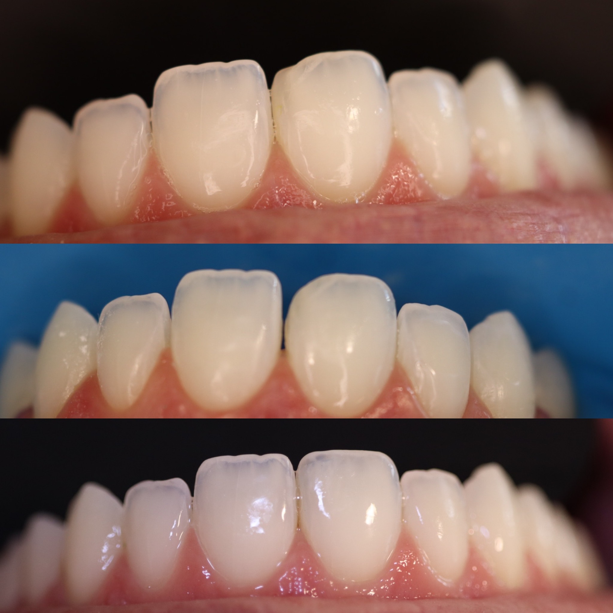
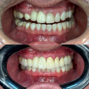
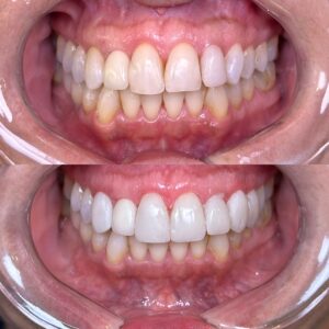
Estética dental

É a área da odontologia que visa melhorar a aparência dos dentes, gengivas e sorriso como um todo. Isso inclui tratamentos e procedimentos que buscam melhorar a forma, o tamanho, a cor e o alinhamento dos dentes, criando um sorriso mais harmonioso e agradável.

Principais tratamentos:

Facetas em resina;
Facetas em cerâmica;
Próteses unitárias;
Clareamento dental.

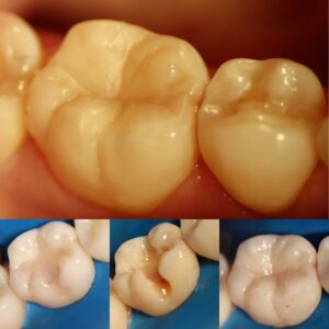
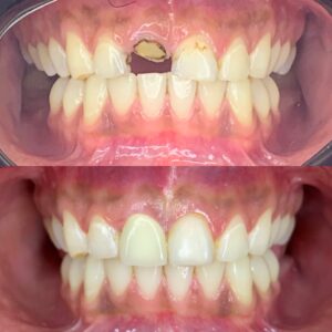
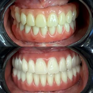
Reabilitação oral

É um conjunto de tratamentos dentários integrados, com o objetivo de restaurar a saúde, a função e a estética oral. As próteses dentárias substituem dentes ausentes ou severamente danificados.

Principais tratamentos:

Prótese removível (Acrílica, metálica);
Prótese sobre implante ( Acrílica, PMMA, Zircônia, EMAX, cerâmica);
Prótese fixa sobre dente ( Acrílica, PMMA, Zircônia, EMAX, cerâmica);
Pôntico sobre dente;
Prótese protocolo.

Implantes dentários

É uma solução utilizada para substituir dentes perdidos ou ausentes de forma permanente. Ele consiste em uma pequena peça, geralmente feita de titânio, que funciona como a raiz de um dente natural, restaurando a estética e a função da boca. O implante permite ao paciente voltar a mastigar e sorrir com confiança.

Principais tratamentos:

Implante unitário
Implantes em arco ( para quem perdeu todos os dentes)
Implantes zircônia

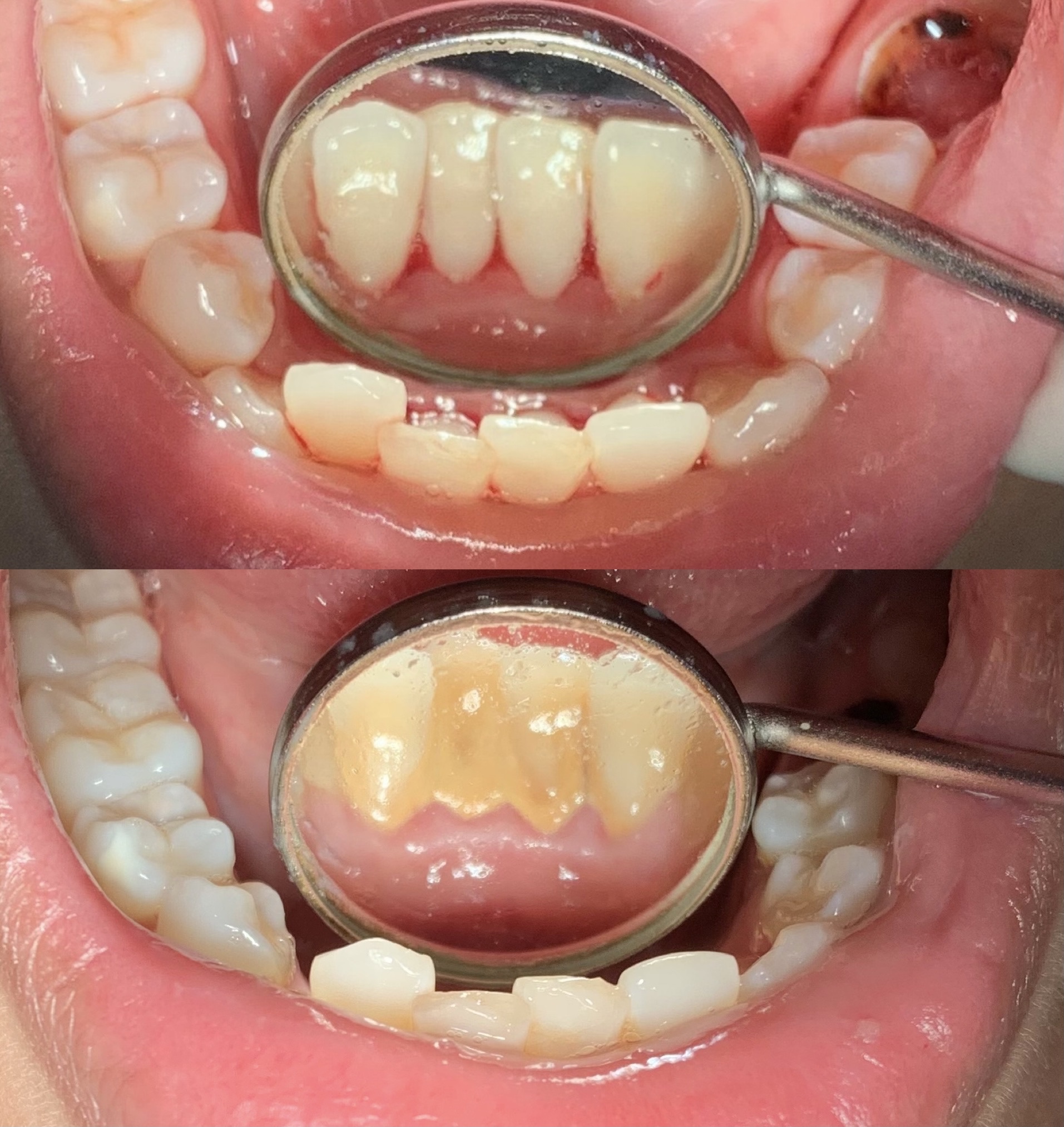
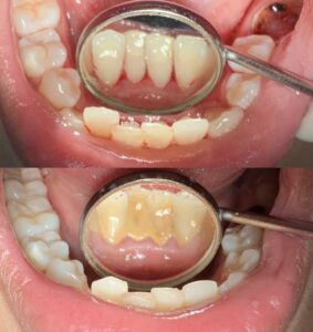
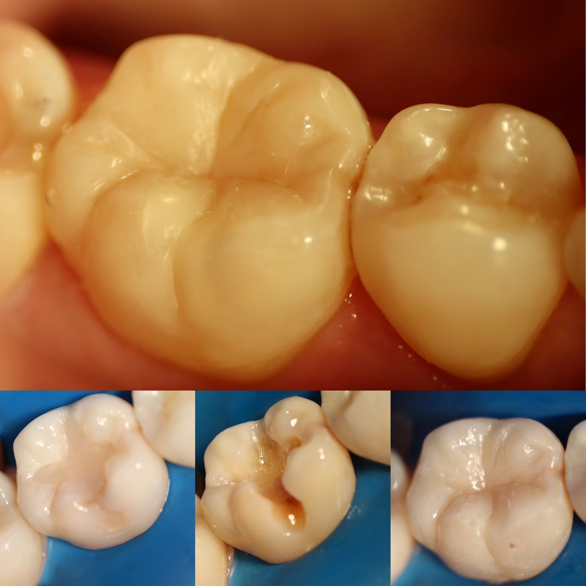
Clínica Geral

Atendimento amplo e diversificado, com foco na prevenção, diagnóstico e tratamento de condições e doenças bucais comuns. O atendimento de clínica geral inclui uma variedade de procedimentos e diagnósticos de problemas mais sérios, como cáries e doenças gengivais.

Principais tratamentos:

Profilaxia / Limpeza dental;
Aplicação de Flúor;
Restaurações/ Obturação dental;
Tratamento para hipersensibilidade dentinária;
Clareamento dental;
Tratamento para inflamação gengival.

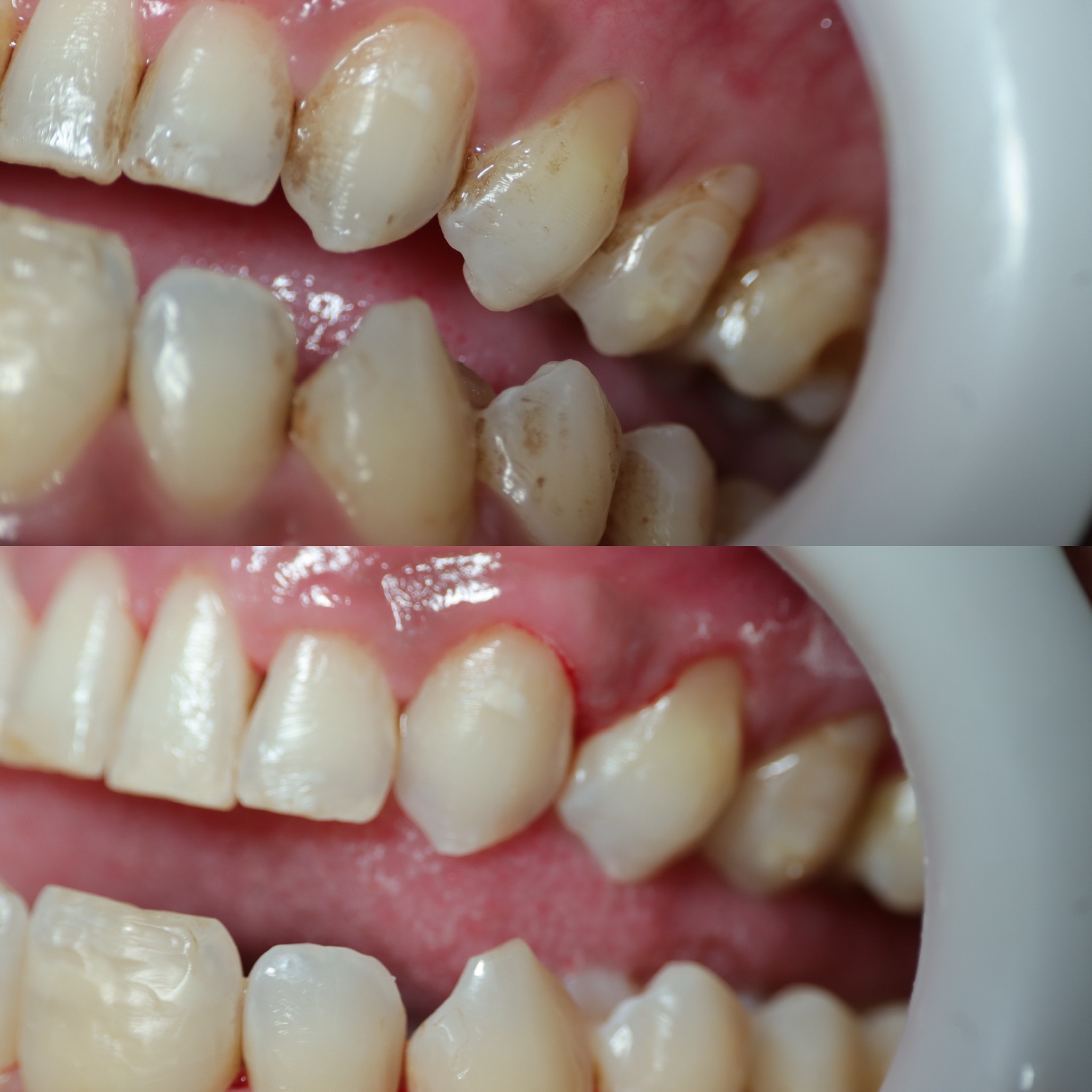
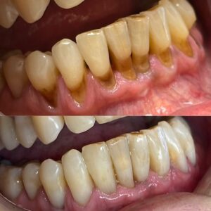
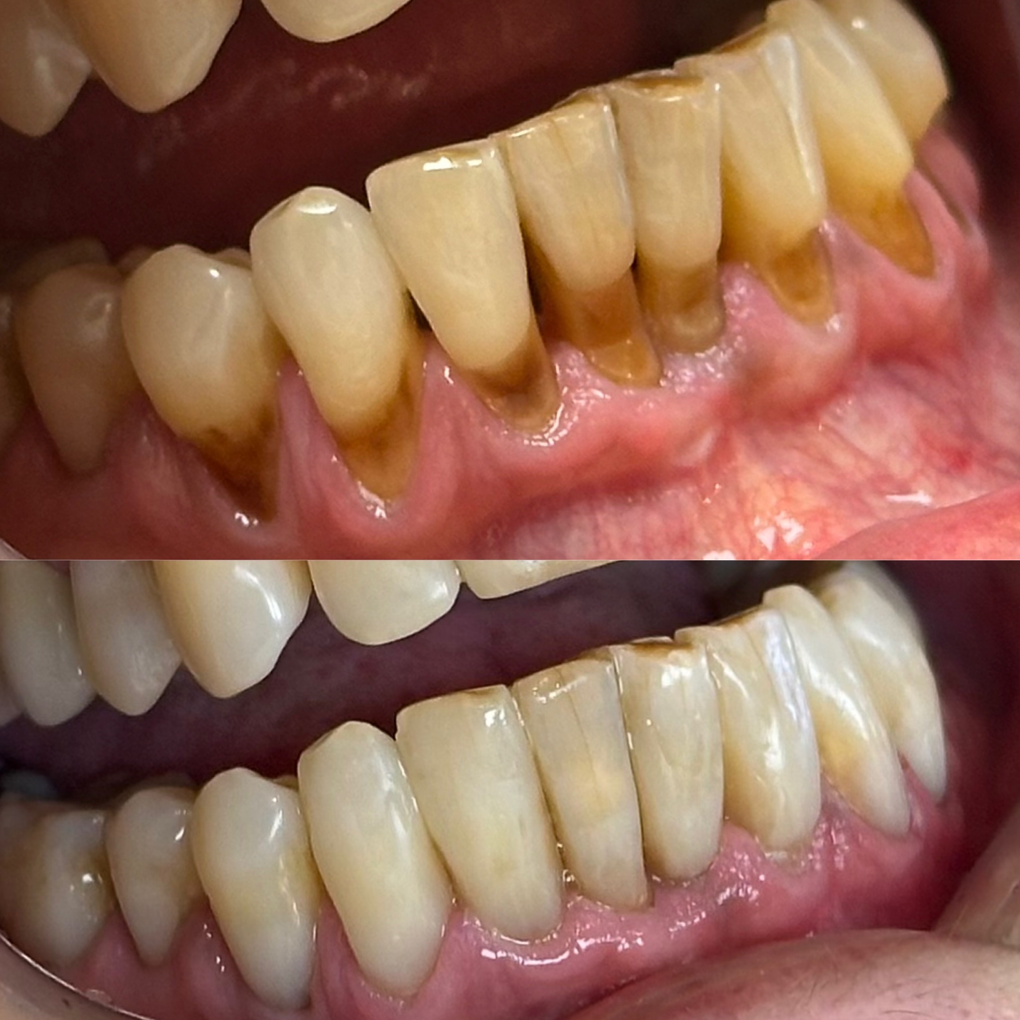
Periodontia

A periodontia se concentra no diagnóstico, prevenção e tratamento das doenças que afetam as gengivas e os tecidos ósseos. O principal problema tratado pela periodontia é a periodontite (ou doença periodontal), que pode levar à perda de dentes se não tratada adequadamente. A periodontia também inclui procedimentos cirúrgicos para restaurar ou melhorar a saúde periodontal em casos mais avançados.

Principais tratamentos:

Orientação sobre cuidados de higiene oral;
Raspagem e alisamento radicular supra e subgengival;
Cirurgias periodontais;
Enxertos gengivais;
Enxerto ósseo.

Ortodontia

A ortodontia se concentra no diagnóstico, prevenção e tratamento de problemas relacionados ao alinhamento dos dentes e à mordida (oclusão). O objetivo principal da ortodontia é corrigir irregularidades dentárias e faciais, promovendo uma mordida funcional e estética mais equilibrada.

Principais tratamentos:

Ortodontia fixa;
Ortodontia digital;
Alinhadores transparentes Invisalign®.

Harmonização facial

É o conjunto de procedimentos estéticos não cirúrgicos que visam melhorar a harmonia e equilíbrio do rosto, focando em áreas como a boca, mandíbula, queixo, nariz, bochechas e pescoço. O objetivo é melhorar a estética facial e corrigir imperfeições de forma discreta e natural, utilizando técnicas que podem incluir:

Principais tratamentos:

Toxina botulínica;
Preenchimentos faciais com ácido hialurônico;
Preenchimento labial com ácido hialurônico; Microagulhamento;
Fios de sustentação absorvíveis.

Dra. Ana Luiza Andrade

Especialista em próteses, implantes, periodontia e harmonização facial.

Assista o vídeo abaixo e entre em contato:

Clique para abrir no Google Maps!

Dra. Ana Luiza de Freitas

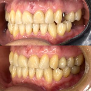
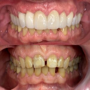
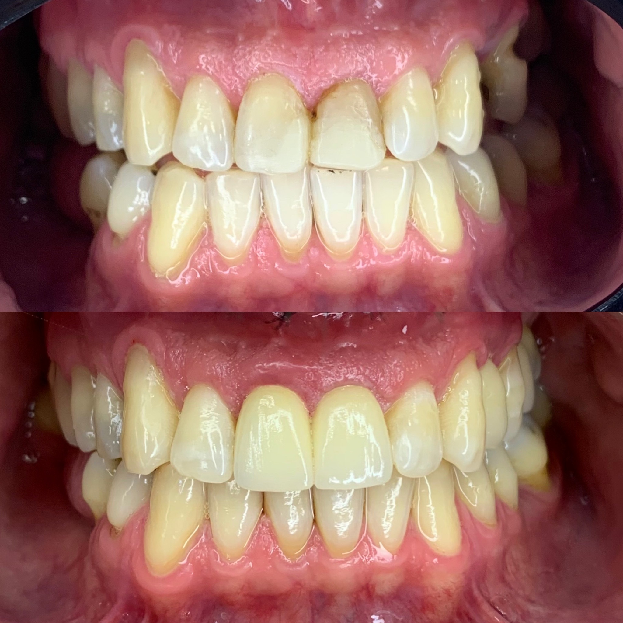
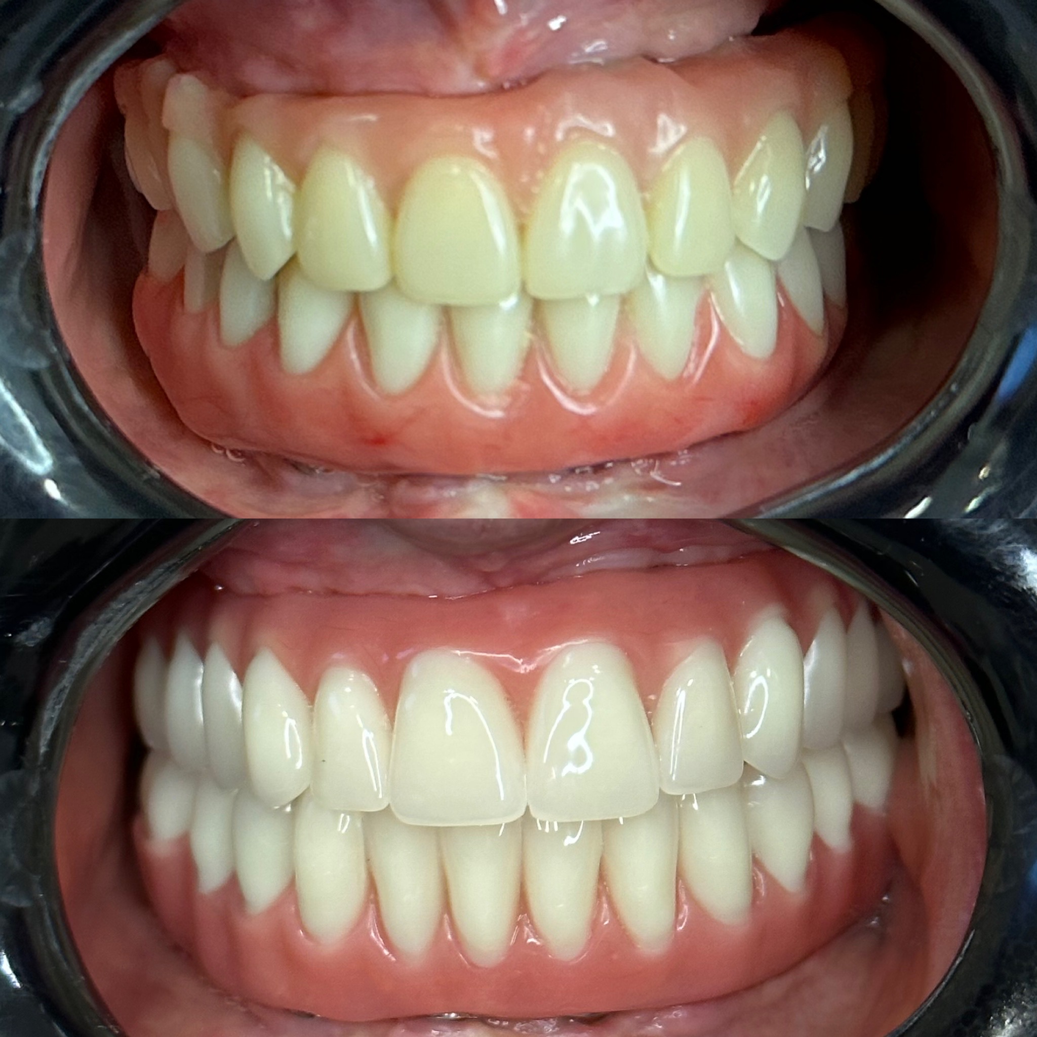
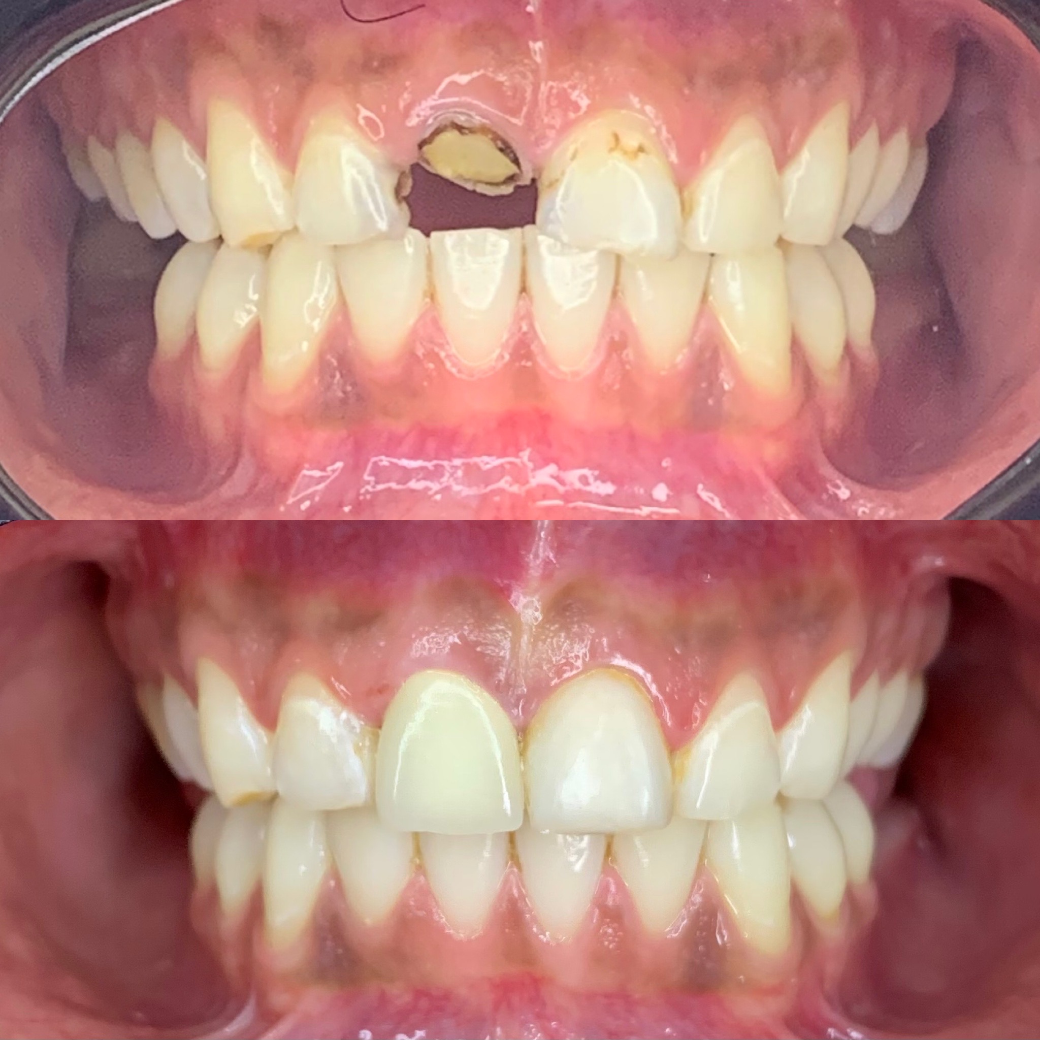
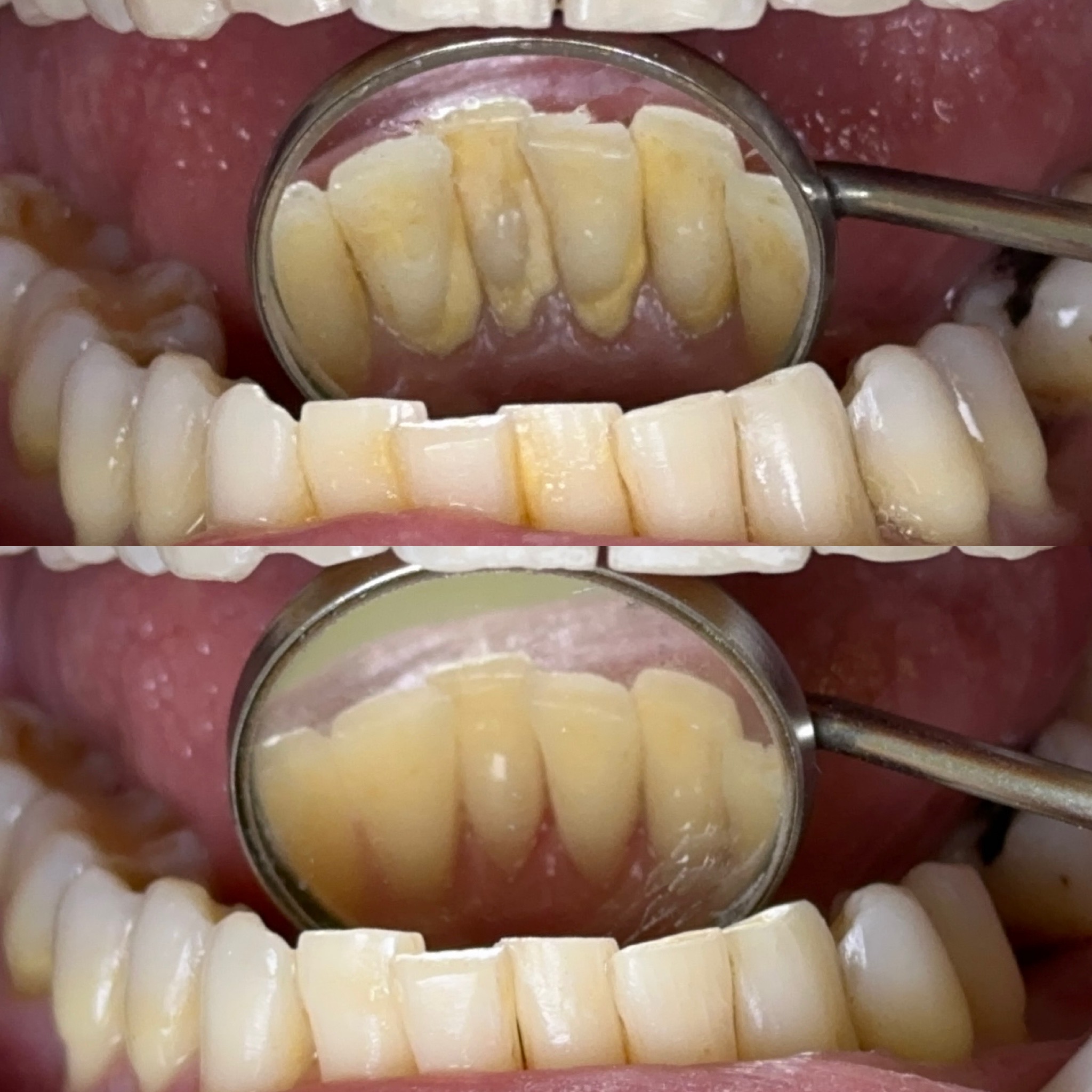
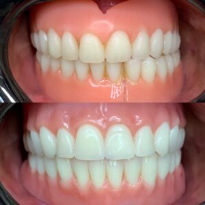
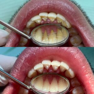
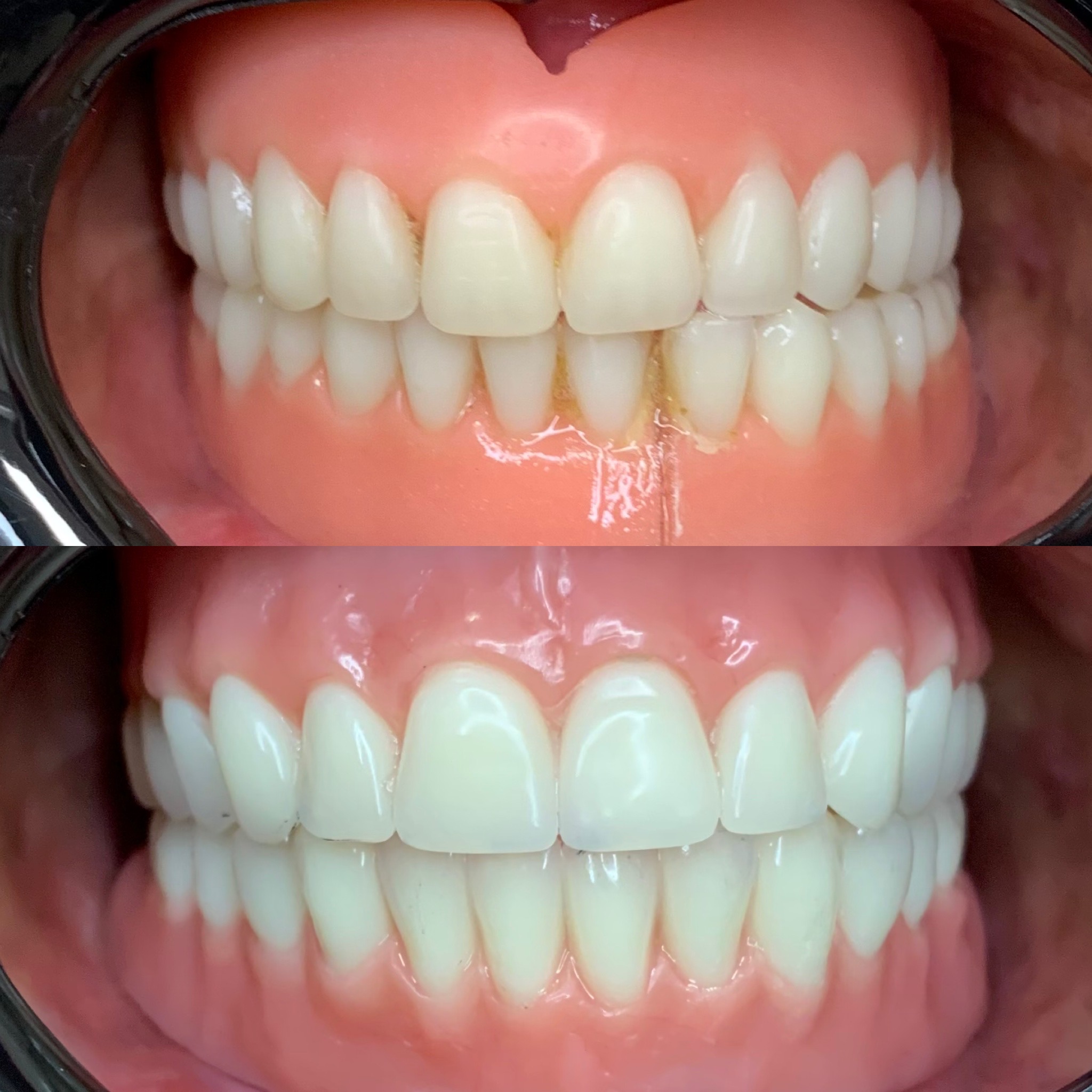
Casos concluídos

Estética dental
 

Improving Lives Together

Lorem ipsum dolor sit amet, consectetur adipiscing elit. Ut elit tellus, luctus nec ullamcorper mattis, pulvinar dapibus leo.

Team Expert
0%
Service
0%
Quality Guaranteed
0%

Depoimentos

O que meus pacientes dizem sobre meu trabalho.

Excelente profissional!

Atendimento sempre com máxima atenção e cuidado.

Rated 5 out of 5

Luiz Gustavo Rorato

Dr. Ana é excelente!

Recomendo e voltarei sempre!

Rated 5 out of 5

Kahena Nantes

Já fui atendido algumas vezes e sempre tive uma ótima experiência. Recentemente fiz um clareamento e gostei muito do resultado. Recomendo!

Rated 5 out of 5

Tarek Sati

Foi uma experiência incrível, me senti acolhida, segura, confiante de que estava no lugar certo para as minhas expectativas. Super recomendo. ❤️

Rated 5 out of 5

Clari Garcia

Blog

Como o estresse pode influenciar no bruxismo?

Como o estresse pode influenciar no bruxismo?

O estresse é um grande influenciador do bruxismo, que é o hábito de ranger ou apertar os dentes, geralmente durante…

A clínica Ryso